Lưu trữ Danh mục: Nhà Nông 24h – Tổng hợp tin tức, kỹ thuật
Yêu cầu cần chú ý lựa chọn dòng thức ăn cho TTCT
Thức ăn là nguồn cung cấp dinh dưỡng chính cho tôm thẻ chân trắng. Chất
Ứng dụng trùn quế trong việc nuôi tôm cá
Với nồng độ dinh dưỡng cao, trùn quế được coi là một món ăn tự
Rong biển là giải pháp nhanh chóng cho biến đổi khí hậu?
Thực phẩm thủy sản ngày càng được đặt lên vị trí cao hơn trong các
Phòng bệnh Lymphocystis ở cá biển
Đây là một trong những bệnh nguy hiểm do virus gây ra ở cá biển,
Bộ 3 điều lo lắng trong nuôi tôm: Tảo – Khí độc – Nấm
Trong nuôi tôm, những thứ khiến người nuôi phải đau đầu khi nhắc đến có
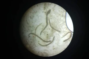
Tìm hiểu thêm về ký sinh trùng Gregarine gây bệnh trên tôm
Ký sinh trùng trên tôm là một dạng bệnh phổ biến thường gặp phải trong
Bacteriocin và ứng dụng trong điều trị bệnh vi khuẩn trong nuôi trồng thủy sản
Nuôi trồng thủy sản là một trong những ngành thực phẩm phát triển nhanh nhất
Bacteriocin và ứng dụng trong điều trị vi khuẩn trong NTTS
Để phổ biến tiếp theo bài phòng và điều trị bệnh trên tôm thẻ trước,
Thay thế sử dụng kháng sinh bằng men vi sinh
Trong nuôi trồng thủy sản hiện nay, việc sử dụng sản phẩm xử lý, cải
Hệ thống thị giác ấn tượng của tôm bọ ngựa
Tôm bọ ngựa hay còn gọi là tôm búa là động vật giáp xác biển,
Một số lưu ý khi nuôi tôm vào vụ đông
Vào thời điểm những tháng cuối năm, hay còn được gọi là vụ đông. Lúc
Rùa biển Blanche thể bạch tạng cực kỳ quý hiếm “có một không hai”
Tháng 10 vừa qua, tại Trung tâm ấp trứng “Let’s Get Cracking” trên bãi biển

